#무릎 십자인대 파열 증상 #무릎 십자인대 파열 수술 #무릎 십자인대 파열 무릎 십자인대 파열 증상 및 수술 종류

과도한 활동이나 움직임으로 인해 무릎 관절이 손상되는 경우가 많습니다. 대표적인 부상 중 하나가 무릎 십자인대 파열이다. 한번 파열되면 무릎의 안정성을 보호하는 기능이 약화되어 퇴행성관절염 발병에도 영향을 미치므로 주의가 필요합니다. 그래서 오늘은 무릎 십자인대 파열의 증상과 원인, 치료법에 대해 알아보겠습니다. 이에 대해서는 아래 본문에서 자세히 설명하겠습니다. 무릎 십자인대 파열 수술에 대한 영상도 있으니 끝까지 관심 가져주세요. 무릎 십자인대 파열은 관절의 안정성을 담당하는 인대가 손상되는 질환이다.

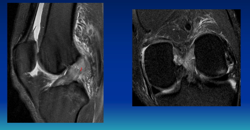
무릎관절은 대퇴골, 경골, 슬개골 등 3개의 뼈와 4개의 인대로 구성됩니다. 이 중 십자인대는 무릎관절 내부에 존재하는 십자형(+) 모양의 인대로, 관절의 전·후 움직임을 조절하는 역할을 한다. 앞쪽에 있는 전방십자인대는 경골이 대퇴골 위로 앞으로 미끄러지는 것을 방지하고, 뒤쪽에 있는 후방십자인대는 뒤쪽으로 미끄러지는 것을 방지합니다. 회전 시 관절의 안정성에 중요한 역할을 하기 때문에 십자인대 파열이 발생할 수 있습니다. 무릎이 불안정해지고 퇴행성관절염이 가속화될 수 있으니 주의하세요. 무릎 십자인대 파열의 90% 이상이 외부 충격에 의해 발생한다.
십자인대 파열의 90% 이상이 외상으로 인해 발생합니다. 전방십자인대는 급격한 방향전환이나 갑작스러운 정지 및 출발로 인해 파열되기 때문에 축구, 농구, 야구 등의 스포츠 활동 중에 부상이 자주 발생합니다. 반면, 후방십자인대는 전방인대에 비해 상대적으로 두껍기 때문에 교통사고나 낙상 등 더 직접적이고 강한 충격에 의해 발생하게 됩니다. 또한, 무릎 십자인대 파열 시 반월판 파열이나 인대 손상을 동반하는 경우가 약 50%에 이른다. 너무 많기 때문에 보다 적극적인 조치가 필요합니다. 십자인대 파열은 터지는 소리, 심한 통증, 불안정성을 동반한다.

무릎 십자인대가 파열되면 ‘뚝’하는 소리가 나며 극심한 통증과 붓기가 동반된다. 운동 중 태클이나 충돌 등 직접적인 접촉으로 파열되면 바로 일어나 걷기가 어려워지고 불안정성이 발생해 정상적인 보행이 어려워진다. 또한 근육 내부에서 출혈이 발생하고 멍이 들기도 합니다. 그로 인해 다른 질환에 비해 내원 시기가 빠른 편이지만, 3~5일 정도 지나면 통증과 붓기가 다소 완화되어 치료를 하지 않고 방치하는 경우가 많습니다. 그러나 십자인대는 관절의 안정성과 균형감각에 영향을 미치기 때문에 장기간 치료하지 않고 방치할 경우 불안정성이 생기거나 운동범위가 감소될 수 있으므로 주의가 필요합니다. 무릎 인대 파열의 단계와 손상 정도를 고려하여 수술 방법을 결정합니다.
![]()
십자인대 파열을 치료할 때는 파열 정도와 활동도도 함께 고려한다. 활동량이 적은 노인이거나 불안정성이 없는 경우에는 수술보다는 약물치료, 주사치료, 물리치료 등 보존적 치료를 통해 염증과 통증을 조절하게 됩니다. 다만, 20~40대의 젊은 연령층에서 발생한 외상성 파열이라면 관절경을 사용할 수 있다. 인대 복구(손상된 인대를 봉합하는 수술) 또는 인대 재건(손상된 인대를 제거하고 새로운 인대를 만드는 수술)이 수행됩니다. 경우에 따라 이식(타인의 인대를 이용하여 봉합)하는 경우도 있으므로 환자의 상태에 맞는 무릎 십자인대 파열 수술법이 필요합니다. 준비운동을 통해 십자인대 파열을 예방하는 것이 최우선입니다.
![]()
무릎 십자인대 파열 증상을 예방하려면 준비운동과 근육 강화가 매우 중요하다. 운동 전후에 준비 운동을 실시하여 경직된 근육과 인대를 이완시키고, 무릎 주변 근육을 강화하여 하중을 고르게 분산시킵니다. 운동 시에는 무릎 테이핑이나 보호대를 착용하고, 무리한 운동을 하는 날에는 온습포를 사용하는 것이 좋습니다. 수술 후 재활은 1년 정도 소요되므로 초기에는 운동범위 회복에 중점을 두고 점차적으로 인대를 강화시켜 줍니다. 연세사랑병원 서울시 서초구 효령로 10 연세사랑병원 연세사랑병원 신관 서울시 서초구 남부순환로 2137 연세사랑병원 본관 공동연구소 서울시 서초구 효령로 10 연세 사랑병원 서울시 서초구 남부순환로 2205 연세사랑병원